หน้าแรก
ตรวจหวย
เว็บบอร์ด
ควิซ
Pic Post
แชร์ลิ้ง
หาเพื่อน
Chat
หาเพื่อน Line
หาเพื่อน Team
Page
อัลบั้ม
คำคม
Glitter
เกมถอดรหัสภาพ
คำนวณ
การเงิน
ราคาทองคำ
กินอะไรดี
ติดต่อเว็บไซต์
ลงโฆษณา
ลงข่าวประชาสัมพันธ์
แจ้งเนื้อหาไม่เหมาะสม
เงื่อนไขการให้บริการ
รวม Hot Topic
สุดยอด Hot Topic
Hot Topic ของฉัน
ตั้งกระทู้ใหม่
Hot Topic โดย
sdcdentist
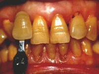
สยอง!! หนอนในเหงือกคน
จัดฟัน ทำไมต้องเกี่ยวยาง?
ทำฟันให้สวยด้วย วีเนียร์ (Veneers)
10 วิธีพิชิตปากเหม็น
รู้ยัง? การทำงานของเหล็กจัดฟัน
ฝากถึงคนที่อยากจัดฟัน
ฟันผุหนักมาก
เมื่อพูดถึง...ขูดหินปูน
ทำไมคุณบอกว่าคุณโชคร้าย........ ทั้งๆ ที่คุณก็มี
นี่คือความเปลี่ยนแปลงที่เกิดขึ้นขณะ "จัดฟัน" ในเวลา 24 เดือน
โอ้ยย... เค้าว่ารากฟันเทียมเถื่อน!!!
หนูต้องทำไงดีคะพี่หมอ TT____TT
เอาหนังยางถักมารัดฟันเล่นแบบนี้ ต้องระวัง
ใครอยากฟันขาวยกมือขึ้น!
อย่าทำร้ายฟันด้วยเบกกิ้งโซดาผสมน้ำมะนาว!!
พลิกชีวิตไปตลอดกาลกับ "ข้อสอบสัมภาษณ์เข้าบริษัทญี่ปุ่น"
ขอเวลาแค่ 1 นาที เพื่อเตือนสติคน... อ่านให้จบนะ ดีจริงๆ
9 ตัวการร้ายที่ทำให้ฟันไม่ขาว (ผู้ชายยิ้มให้ เซ็ง... ไม่กล้าจะยิ้มตอบ)
อาร์เตต้าฟันหลอหลังประสานงาแข้งฮัลล์! จะบอกอาร์เตต้าให้จัดการกับปัญหานี้ยังไง?
จัดฟัน เดือนนี้เลือกยางจัดฟันสีไหนดี
8 โรคที่ต้องแจ้งทันตแพทย์ก่อนขูดหินปูน!
ทิ้งแม่
ประวัติเหน็บยาเร่งคลอดเข้าที่ปากมดลูกด้วยตนเอง ก่อนมาโรงพยาบาลไม่กี่ชั่วโมง....
จัดฟันทำไมต้องถอนฟันคุด
รีเทนเนอร์แบร๊กเก็ต (ยางโอริงทับเชน) เป็นยังไงมาดู!
จัดฟันกับสัญญา 5 ข้อ
10 วิธีต้านปากเหม็นขั้นเทพ
6 สิ่งห้ามพลาด แปรงสีฟัน ด้วยประการทั้งปวง
เคล็ด(ไม่)ลับกับ รีเทนเนอร์จัดฟัน
ถอนฟันหรือผ่าฟันคุดแล้วหน้าจะเรียวไหมครัช!!!
< prev
1
2
3
next >